Restauración dental, ¿cómo funciona?
Éste tipo de restauraciones son estéticas debido a que son traslúcidas por no llevar metal en su estructura interna, por lo mismo se pueden confeccionar idénticas al diente o dientes contiguos sin que los demás puedan percibir que no es un diente natural. Con los diferentes tipos de materiales estéticos se pueden construir restauraciones como carillas, coronas e incrustaciones para cualquier diente o muela.
Restauración es una reconstrucción de una porción de diente, destruida, fracturada, desgastada o afectada irreversiblemente por patología, previa terapéutica de la misma y preparación dentaria apropiada.
Tienen como objetivo detener la progresión de la enfermedad cariosa y evitar que siga la destrucción del diente hasta su definitiva pérdida y devolverle al diente su forma natural (anatómica), su función y, si es posible, su estética, mediante el reemplazo de los tejidos perdidos o enfermos e irrecuperables, por materiales «aloplásticos» (artificiales) adecuados. Estos materiales pueden ser metálicos (como la amalgama dental o el oro) o de coloración similar (aunque no siempre idéntica) a los dientes (como las resinas compuestas o composites, los ionómeros o la porcelana): son las llamadas restauraciones dentocoloreadas y en ocasiones, la finalidad es estética.
Tipos de restauraciones:
Atendiendo al procedimiento de realización y otras características, la restauraciones se dividen en:
• Obturaciones (popularmente, «empastes») realizados con distintos materiales y procedimientos, en los que los materiales se colocan en el diente en estado blando y se endurecen y conforman en la boca; pueden ser de amalgama(metálicas) de resina compuesta o «composite» (un material estético) o de algún tipo de cemento (principalmente, ionómero de vidrio );
• Orificaciones, ya casi en desuso; son reconstrucciones a base de oro cohesivo que se va prensando y cohesionado en la propia cavidad del diente;
• Incrustaciones, consistentes en pequeñas piezas rígidas (metálicas, de porcelana o de resina compuesta) sustitutivas de las partes perdidas, prefabricadas a medida y cementadas o adheridas a los tejidos dentarios remanentes; se clasifican en inlays, onlays y overlays , según su situación y extensión.
• Frentes laminados (o carillas ) estéticos : son unas láminas muy delgadas de porcelana o de resina, bien prefabricadas o bien fabricadas a medida, que se adhieren a la superficie labial o anterior de los dientes para restaurar sus defectos anatómicos o estéticos.
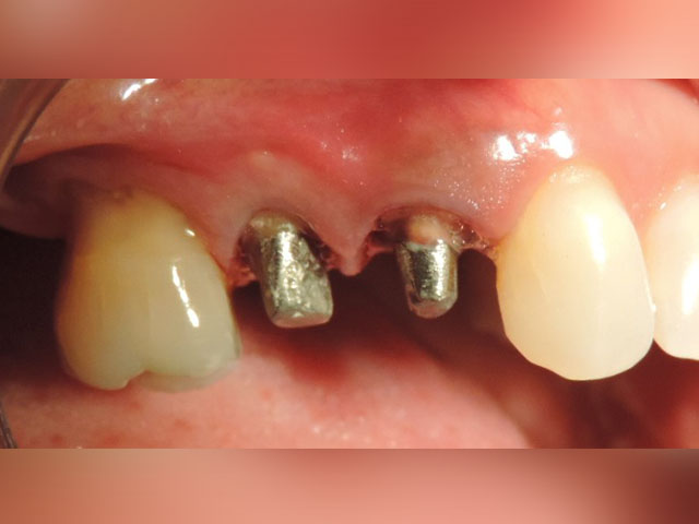
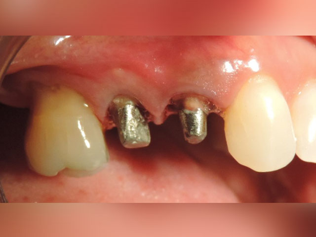
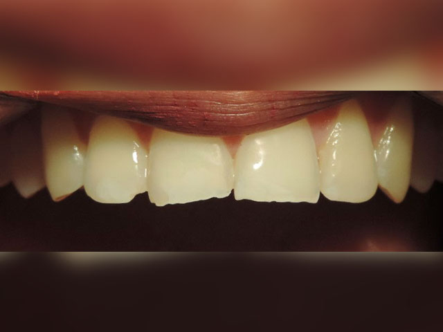
• Coronas o fundas coronarias: son coberturas completas o parciales de la superficie de los dientes. Se fabrican a medida, después de que el dentista talle o desgaste los dientes y obtenga un molde del muñón o eje dentario de sujeción, al que finalmente las cementan o adhieren. Pueden ser de metal, porcelana, metal-porcelana, resina o metal-resina.
• También se consideran restauraciones, diversos medios accesorios o complementarios de retención (pernos, pins , etc), que tienen por función reforzar el diente debilitado y ayudar a la sujeción de la parte reconstruida del diente.
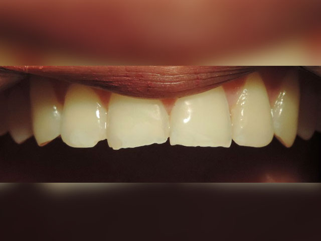
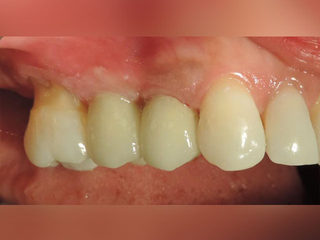
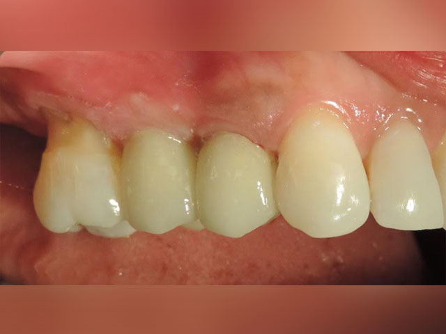
Casos clínicos:
Haz tu cita al 5638 1178 o déjanos tus datos.
Con información de COEA








